Dział: Diagnostyka obrazowa

Działy
Wyczyść
Brak elementów
Wydanie
Wyczyść
Brak elementów
Rodzaj treści
Wyczyść
Brak elementów
Sortowanie

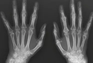
Diagnostyka różnicowa zespołów bólowych kończyny górnej. Część 1

Kończyna górna w procesie ewolucyjnym człowieka z roli podporowej przekształciła się w narzędzie chwytne, zdolne do ruchów o wysokiej precyzji. Procesowi temu towarzyszyć musiały zmiany anatomii samej kończyny (pojawiły się mniej masywne kości, ale bardziej ruchome stawy z licznymi drobnymi mięśniami ręki), a także rozwój układu nerwowego, dzięki któremu człowiek może korzystać w pełni z możliwości tak doskonałego mechanizmu, jakim jest ludzka ręka. Ceną za tę ścieżkę rozwoju jest jednak zwiększone ryzyko urazów i przeciążeń kończyny górnej.

Czytaj więcej

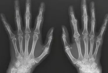
Diagnostyka różnicowa zespołów bólowych kończyny górnej. Część 2

Dolegliwości bólowe w obrębie kończyny górnej mogą mieć różną przyczynę, dlatego tak ważna jest diagnostyka różnicowa. W ustaleniu prawidłowego rozpoznania pomocne jest tradycyjne badanie radiologiczne, które pozwala na wykrycie wielu patologii, takich jak urazy, zmiany zwyrodnieniowe, przeciążeniowe, choroby metaboliczne, zapalne i nowotwory, choć ma też swoje ograniczenia.

Czytaj więcej