Diagnostyka różnicowa zespołów bólowych kończyny górnej. Część 1

Diagnostyka obrazowa

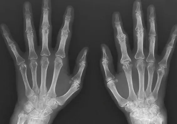
Kończyna górna w procesie ewolucyjnym człowieka z roli podporowej przekształciła się w narzędzie chwytne, zdolne do ruchów o wysokiej precyzji. Procesowi temu towarzyszyć musiały zmiany anatomii samej kończyny (pojawiły się mniej masywne kości, ale bardziej ruchome stawy z licznymi drobnymi mięśniami ręki), a także rozwój układu nerwowego, dzięki któremu człowiek może korzystać w pełni z możliwości tak doskonałego mechanizmu, jakim jest ludzka ręka. Ceną za tę ścieżkę rozwoju jest jednak zwiększone ryzyko urazów i przeciążeń kończyny górnej.

Staw barkowy, a raczej obręcz barkowa zawiera w sumie pięć elementów ruchomych, w tym trzy prawdziwe stawy maziówkowe: staw mostkowo-obojczykowy, staw obojczykowo-barkowy, ramienno-łopatkowy i dwa pseudostawy, w których ruch zachodzi za pośrednictwem warstw powięziowych (staw łopatkowo-żebrowy i przestrzeń podbarkowa). Główny komponent zakresu ruchu, bo aż 90° odwodzenia, przypada na staw ramienno-łopatkowy, ok. 30° na staw żebrowo-łopatkowy, a pozostała część na staw obojczykowo-barkowy i pewną kompensację kręgosłupa [1]. Staw ramienno-łopatkowy jest złożony z wypukłości głowy 
k. ramiennej i wklęsłości panewki łopatki, dzięki czemu możliwe są ruchy toczenia i ślizgu. Kontakt powierzchni stawowych jest możliwy dzięki retrotorsji (tyłoskręceniu) gł. k. ramiennej o ok. 30°, przez co pasuje do ustawionej pod kątem 30° względem płaszczyzny czołowej panewki, co wymusza owal grzbietu. Niestety tylko 2/5 powierzchni głowy k. ramiennej jest zanurzone w panewce i gdyby nie obrąbek stawowy panewki uzupełniający kontakt stawowy, silne więzadła panewkowo-ramienne, ujemne ciśnienie w stawie i siły kompresji mięśniowej, staw utraciłby swoją stabilność [2]. W każdym kierunku ruchu uczestniczą pozostałe stawy i pseudostawy. Podczas odwodzenia w przestrzeni podbarkowej dochodzi do wzajemnego ślizgu m. naramiennego i ścięgien stożka rotatorów utworzonego przez m. podłopatkowy, nadgrzebieniowy, podgrzebieniowy i obły mniejszy na poziomie kaletki podbarkowej (podnaramiennej). Dzięki niewielkiej ilości płynu znajdującego się pomiędzy ścianami kaletki, elastyczności jej ścian i odpowiedniemu timingowi mięśniowemu, możliwe jest podczas ruchu odwodzenia zagłębienie guzka większego k. ramiennej pod wyrostkiem barkowym i więzadłem kruczo-barkowym, które od góry ograniczają przestrzeń podbarkową. Podczas ruchu złożonego z odwodzenia i wyprostu dochodzi do rotacji k. ramiennej, aby guzek większy k. ramiennej nie uderzył w wyrostek barkowy, co przejawia się tzw. paradoksem Codmana (zmiana pozycji kciuka w pozycji startowej i końcowej) [3]. Końcowe zakresy ruchu odwiedzenia, przywiedzenia horyzontalnego i rotacji znajdują swoje odbicie w stawach mostkowo-obojczykowym i obojczykowo-barkowym. Jako stawy maziówkowe płaskie eksploatuj...

Pozostałe 90% treści dostępne jest tylko dla Prenumeratorów

Co zyskasz, kupując prenumeratę?
  • 10 wydań czasopisma "Praktyczna Fizjoterapia i Rehabilitacja"
  • Nielimitowany dostęp do całego archiwum czasopisma
  • ...i wiele więcej!

Nowoczesna wiedza, którą od razu wykorzystasz w pracy z pacjentem.

Specjalistyczne czasopismo dla fizjoterapeutów, łączące aktualną wiedzę naukową z codzienną praktyką kliniczną.

sprawdzone metody terapeutyczne
praktyczne protokoły postępowania
studia przypadków z gabinetów
najnowsze trendy w rehabilitacji
artykuły ekspertów z Polski i świata
dostęp online do archiwalnych numerów
Nowoczesna wiedza, którą od razu wykorzystasz w pracy z pacjentem.

Przypisy

    POZNAJ PUBLIKACJE Z KSIĘGARNI FIZMEDIO