Diagnostyka różnicowa zespołów bólowych kończyny górnej. Część 2

Diagnostyka obrazowa

Dolegliwości bólowe w obrębie kończyny górnej mogą mieć różną przyczynę, dlatego tak ważna jest diagnostyka różnicowa. W ustaleniu prawidłowego rozpoznania pomocne jest tradycyjne badanie radiologiczne, które pozwala na wykrycie wielu patologii, takich jak urazy, zmiany zwyrodnieniowe, przeciążeniowe, choroby metaboliczne, zapalne i nowotwory, choć ma też swoje ograniczenia.

Klasyczna radiologiczna (RTG) – ocena struktur kostnych k. górnej nadal pozostaje badaniem pierwszego wyboru w takich patologiach, jak urazy, zmiany zwyrodnieniowe i przeciążeniowe, choroby metaboliczne, zapalne, infekcyjne i układowe oraz nowotwory. W przypadku obręczy barkowej oprócz podstawowych projekcji przednio-tylnej (anterior-posterior – AP) i osiowej, do dyspozycji są projekcje dodatkowe (projekcja Y, West-Point, przezklatkowa, Stryker), dzięki którym możliwa jest ocena krawędzi kostnych panewki, trzonu łopatki, wyrostka kruczego i grzebienia łopatki. W prawidłowych warunkach w projekcji AP – głowa k. ramiennej koncentrycznie przylega do wcięcia panewki (szpara stawowa ok. 2 mm), pozostawiając odstęp o szerokości 7–8 mm w przestrzeni podbarkowej, a linia szyjkowo-łopatkowa ma gładki przebieg (zdj. 1). 

Niestety wzajemne pokrywanie się cieni kostnych powoduje, że w sytuacji zwichnięć tylnych głowa k. ramiennej widziana tylko w projekcji „udaje”, że pozostaje w panewce i niejednokrotnie należy wykonać dopiero badanie tomograficzne (computed tomography – CT), aby odkryć prawdziwą pozycję gł. k. ramiennej (zdj. 2). 
Badanie RTG bywa niestety zawodne również przy urazach kompresyjnych guzka większego i brzeżnych złamaniach krawędzi łopatki po zwichnięciach urazowych stawu – w tego typu przypadkach z pomocą może przyjść badanie USG lub rezonans magnetyczny (magnetic resonance imaging – MRI; zdj. 3). 
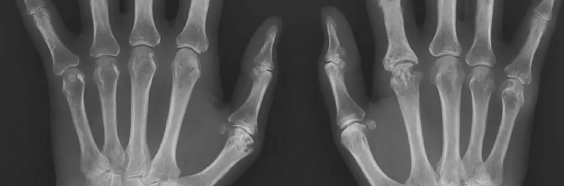
Niekiedy RTG pozwala odkryć również patologie tkanek miękkich w postaci złogów w rzucie przestrzeni podbarkowej – najczęściej są to złogi w kaletce podbarkowej lub w stożku rotatorów w przebiegu wapniejącego zapalenia ścięgien czy entezopatii. W przypadku stawu łokciowego wystarczają 2 projekcje – AP i boczna, ocenia się koncentryczne przyleganie nasad kostnych, szerokość szczeliny promieniowo-ramiennej (norma 2–3 mm), kąt fizjologicznej koślawości (norma ok. 15°) oraz kąt trzonowo-nasadowy (norma ok. 140°) szczególnie ważny u dzieci, gdzie widoczne jest tylko jądro kostnienia bloczka k. ramiennej i wobec zmian tego kąta wnioskuje się o złamaniu nadkłykciowym k. ramiennej. W przypadku nadgarstka stosuje się 2 podstawowe projekcje (AP i boczną) oraz kilka dodatkowych – skośne dla k. łódeczkowatej, w odwiedzeniu promieniowym i łokciowym oraz w pozycji zaciśniętej pięści (zdj. 4). 

W projekcji AP w warunkach prawidłowych k. promieniowa jest dłuższa niż łokciowa, a przestrzeń będąca różnicą wymiarów zajęta jest przez TFCC. Dalsze nasady tych kości przylegają do siebie lub tworzą szczelinę maksymalnie 1 mm, podobnie jak kości łódeczkowata i księżycowata, przy czym ta ostatnia szczelina nie powiększa się w odwiedzeniu ani w pozycji ściskania pięści. Kąt nasadowy k. promieniowej wynosi ok. 20°. W projekcji bocznej kąt nasadowy k. promieniowej wynosi 10° i jest skierowany w kierunku dłoniowym, a kąt pomiędzy k. łódeczkowatą i księżycowatą powinien się mieścić w szerokich granicach normy 30–60°. Metodą przeznaczoną do oceny struktur kostnych, a przede wszystkim do oceny powierzchni stawowych jest CT. Dzięki badaniu warstw wspartym często rekonstrukcją 3D możliwa jest precyzyjna ocena uszkodzeń powierzchni i wewnętrznych stref kości, lokalizacja odłamów, stopień kompresji powierzchni stawowych, a nawet ocena stopnia ryzyka martwicy pourazowej. Badanie to zapewnia bardzo dobre planowanie przedoperacyjne w rekonstrukcjach po urazach, a także przy planowaniu resekcji zmian nowotworowych (zdj. 5). 
Badaniem służącym do oceny tkanek miękkich jest ultrasonografia (USG), ale oprócz możliwości wykrywania zbiorników płynu i wysięków stawowych z dużą precyzją pozwala na ocenę patologii stożka rotatorów, przyczepów mięśni w okolicy stawu łokciowego czy stanu ścięgien w obrębie nadgarstka i ręki (zdj. 6). 
Oprócz tego badanie USG doskonale uzupełnia RTG w sytuacjach drobnych kompresyjnych i awulsyjnych uszkodzeń powierzchni kości niewidocznych lub wątpliwych w badaniu RTG (uszkodzenia guzka większego k. ramiennej, stawu obojczykowo-b...

Pozostałe 90% treści dostępne jest tylko dla Prenumeratorów

Co zyskasz, kupując prenumeratę?
  • 10 wydań czasopisma "Praktyczna Fizjoterapia i Rehabilitacja"
  • Nielimitowany dostęp do całego archiwum czasopisma
  • ...i wiele więcej!

Nowoczesna wiedza, którą od razu wykorzystasz w pracy z pacjentem.

Specjalistyczne czasopismo dla fizjoterapeutów, łączące aktualną wiedzę naukową z codzienną praktyką kliniczną.

sprawdzone metody terapeutyczne
praktyczne protokoły postępowania
studia przypadków z gabinetów
najnowsze trendy w rehabilitacji
artykuły ekspertów z Polski i świata
dostęp online do archiwalnych numerów
Nowoczesna wiedza, którą od razu wykorzystasz w pracy z pacjentem.

Przypisy

    POZNAJ PUBLIKACJE Z KSIĘGARNI FIZMEDIO