Autor: Piotr Godek

Lek med., absolwent Akademii Medycznej w Warszawie (1992), specjalista ortopedii i traumatologii (2003), absolwent Sutherland College of Osteopathic Medicine (2008), dyplomowany osteopata (2010). Zajmuje się nieoperacyjnym leczeniem schorzeń narządu ruchu ze szczególnym uwzględnieniem schorzeń kręgosłupa, praktykuje w Sutherland Medical Center w Warszawie, wykonuje miniinwazyjne zabiegi terapii bólu pod kontrolą USG i CT. Prowadzi szkolenia z zakresu ultrasonografii narządu ruchu, diagnostyki obrazowej narządu ruchu i diagnostyki różnicowej narządu ruchu dla lekarzy i fizjoterapeutów. Autor wielu publikacji z zakresu osteopatii i diagnostyki różnicowej.

Działy
Wyczyść
Brak elementów
Wydanie
Wyczyść
Brak elementów
Rodzaj treści
Wyczyść
Brak elementów
Sortowanie

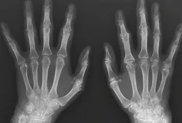
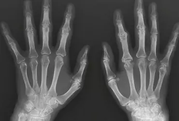
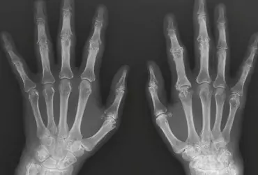
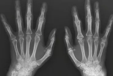
Diagnostyka różnicowa zespołów bólowych kończyny górnej. Część 2

Dolegliwości bólowe w obrębie kończyny górnej mogą mieć różną przyczynę, dlatego tak ważna jest diagnostyka różnicowa. W ustaleniu prawidłowego rozpoznania pomocne jest tradycyjne badanie radiologiczne, które pozwala na wykrycie wielu patologii, takich jak urazy, zmiany zwyrodnieniowe, przeciążeniowe, choroby metaboliczne, zapalne i nowotwory, choć ma też swoje ograniczenia.

Czytaj więcej

Diagnostyka różnicowa zespołów bólowych kończyny górnej. Część 1

Kończyna górna w procesie ewolucyjnym człowieka z roli podporowej przekształciła się w narzędzie chwytne, zdolne do ruchów o wysokiej precyzji. Procesowi temu towarzyszyć musiały zmiany anatomii samej kończyny (pojawiły się mniej masywne kości, ale bardziej ruchome stawy z licznymi drobnymi mięśniami ręki), a także rozwój układu nerwowego, dzięki któremu człowiek może korzystać w pełni z możliwości tak doskonałego mechanizmu, jakim jest ludzka ręka. Ceną za tę ścieżkę rozwoju jest jednak zwiększone ryzyko urazów i przeciążeń kończyny górnej.

Czytaj więcej

Przepona. Perspektywa osteopatyczna

A.T. Still wypowiedział znamienne słowa: „Wszystkie części ciała są bezpośrednio lub pośrednio połączone z przeponą” [1]. Czy jest to praktyczna wskazówka dla następnych pokoleń osteopatów, czy tylko ciekawa prowokacja intelektualna, wyszukana metafora, w których tak lubował się fundator osteopatii?

Czytaj więcej

Diagnostyka ultrasonograficzna stawu barkowego

Ultrasonografia (USG) w diagnostyce schorzeń narządu ruchu znana jest od ponad 30 lat. W jej rozwoju miały miejsce chwile wielkie – jak wypracowanie standardu badania przesiewowego w diagnostyce rozwojowej dysplazji stawu biodrowego – oraz chwile kontrowersji i rozczarowań, kiedy w środowisku ortopedów zajmujących się technikami artroskopowymi krytykowano metodę z powodu rozbieżności między wynikiem badania śródoperacyjnego i opisem badania USG kwalifikacyjnego do leczenia.

Czytaj więcej

Sonofeedback w praktyce fizjoterapeuty. Część 2. Wybrane zabiegi

Metoda sonofeedbacku zmieniła jakościowo model rehabilitacji, czyniąc go bardziej zindywidualizowanym i dostosowanym do aktualnych potrzeb pacjenta. Okazała się przez to bardzo efektywnym narzędziem skracającym czas instruktażu pacjenta do uzyskania pożądanego wzorca ruchu. Na łamach czasopisma prezentujemy kolejne zabiegi.

Czytaj więcej

Sonofeedback w praktyce fizjoterapeuty. Część 1

Doświadczenie zawodowe fizjoterapeuty jest kształtowane przez dwa główne nurty. Nurt, który można nazwać informacyjnym, to studia i podręczniki akademickie fizjoterapii, następnie szkolenia podyplomowe i prasa fachowa. Stanowi niezbędną bazę wiedzy, dzięki której można rozpocząć karierę zawodową i stopniowo specjalizować się w wybranej dziedzinie zgodnie z predyspozycjami. Nie mniej ważny jest jednak nurt drugi, który można nazwać intuicyjnym, a który w dużej mierze kształtowany jest przez zwrotną informację od podopiecznych. I tu zaczynają się problemy. 

Czytaj więcej