Szyja smartfonowa – diagnostyka oraz leczenie – wyzwanie XXI w.

Otwarty dostęp Protokoły fizjoterapeutyczne

Zespoły bólowe w zakresie narządu ruchu są coraz częściej obserwowane w społeczeństwie, nie tylko w grupie pacjentów starszych, ale również u młodzieży i młodych dorosłych. Poza typowymi dolegliwościami, jakimi są ból oraz ograniczenie ruchomości w zakresie objętego patologią narządu, pojawiają się inne symptomy chorobowe, które utrudniają codzienne funkcjonowanie, są trudniejsze do kontrolowania oraz leczenia. Należą do nich m.in. nudności, zawroty głowy, zaburzenia: widzenia, słuchu oraz równowagi. Objawy te mogą występować w przebiegu zespołu szyjno-głowowego, tzw. szyi smartfonowej.

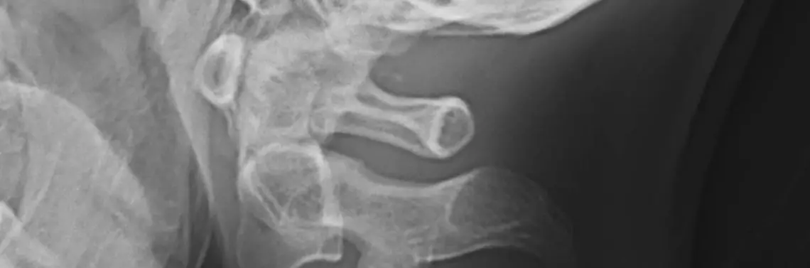
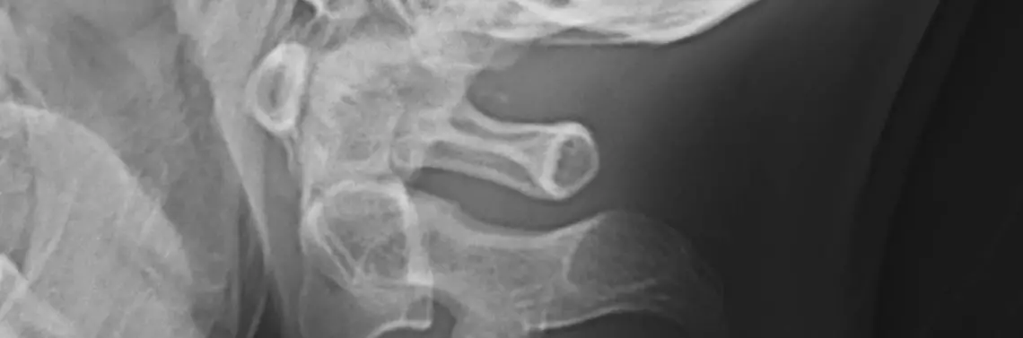
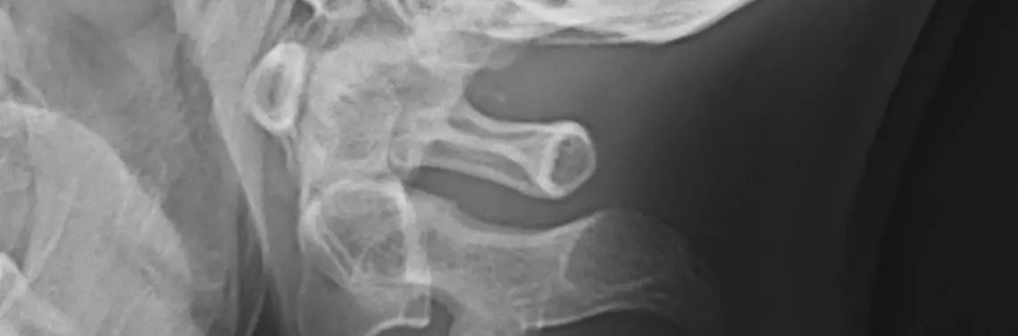
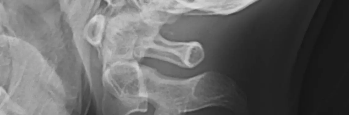
Zespół bólowy kręgosłupa szyjnego staje się wyzwaniem diagnostyczno-terapeutycznym dla całego środowiska medycznego, szczególnie dla lekarzy oraz fizjoterapeutów. Coraz więcej chorych zgłasza się do medyków z powodu zespołu bólowego ograniczonego do odcinka szyjnego, który może promieniować do kończyny górnej lub powodować dodatkowe dolegliwości ze strony ośrodkowego układu nerwowego. Kluczowe w postępowaniu diagnostycznym jest ustalenie, jakiego pochodzenia są dolegliwości – czy ich przyczyną jest objawowa dyskopatia odcinka szyjnego, czy dolegliwości bólowe głowy, zawroty oraz nudności są związane np. ze zmianami w zakresie mózgowia, czy problem jest szyjnopochodny. Często chory wymaga konsultacji wielu specjalistów: neurologa, okulisty, laryngologa, ortopedy oraz fizjoterapeuty. 
Zgodnie z podziałem klinicznym z 2004 r. według Kramera można wyróżnić trzy sytuacje związane z dolegliwościami w zakresie kręgosłupa szyjnego:

  • zespół szyjny (miejscowy) – ograniczony tylko do odcinka szyjnego;
  • zespół szyjno-barkowy – dolegliwości w zakresie odcinka szyjnego z promieniowaniem do kończyny/ kończyn górnych;
  • zespół szyjno-głowowy – dolegliwości w obrębie odcinka szyjnego z promieniowaniem do okolicy podpotylicznej 
  • i/lub wystąpienie objawów ze strony OUN [1–3].

Zespół szyjny (miejscowy)

W przypadku zespołu szyjnego miejscowego, zwanego czasem lokalnym, dolegliwości są ograniczone do okolicy karku. Ze względu na przeciążenia w obrębie tkanek miękkich w przebiegu np. pracy dochodzi do wzmożonego ich napięcia, ograniczenia ruchomości oraz dolegliwości bólowych. Bardzo często u pacjentów rozpoznaje się ból o charakterze mięś...

Ten artykuł jest dostępny tylko dla zarejestrowanych użytkowników.

Jeśli posiadasz już konto, zaloguj się.

Nowoczesna wiedza, którą od razu wykorzystasz w pracy z pacjentem.

Specjalistyczne czasopismo dla fizjoterapeutów, łączące aktualną wiedzę naukową z codzienną praktyką kliniczną.

sprawdzone metody terapeutyczne
praktyczne protokoły postępowania
studia przypadków z gabinetów
najnowsze trendy w rehabilitacji
artykuły ekspertów z Polski i świata
dostęp online do archiwalnych numerów
Nowoczesna wiedza, którą od razu wykorzystasz w pracy z pacjentem.

Przypisy

    POZNAJ PUBLIKACJE Z KSIĘGARNI FIZMEDIO