
Styczeń 2014
Temat miesiąca czterdziestego szóstego wydania „Praktycznej Fizjoterapii i Rehabilitacji” brzmi „Skolioza idiopatyczna czy wada wrodzona?”. Skolioza ponownie pojawia się na łamach naszego czasopisma, ze względu na częste występowanie tego problemu.
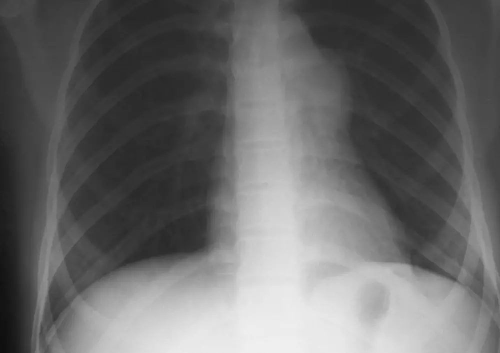
Wrodzona wada kręgosłupa a skolioza idiopatyczna
Terapeuta powinien potrafić odróżnić wrodzoną deformację kręgosłupa od częstej skoliozy idiopatycznej. W najnowszym artykule przedstawiamy objawy kliniczne wad wrodzonych, które pomagają w rozróżnieniu, a także ich podział wraz z opisem. Eksperci w najnowszym numerze wskazują także na ograniczone możliwości leczenia oraz konieczność operacyjnego leczenia wad progresujących.
W niniejszym wydaniu poruszamy m.in. następujące kwestie:
- ćwiczenia w wodzie
- rehabilitacja kardiologiczna i przewlekła niewydolność serca
- zabieg krioterapii – wskazania i przeciwwskazania
- koncepcja Maitland
- koncepcja Kinetic Control
Ćwiczenia w wodzie
Zachęcamy do lektury artykułu pt. „Ćwiczenia w wodzie oraz pływanie jako forma korekcji skolioz uzupełniająca leczenie metodą FED”. Ćwiczenia w wodzie wyróżnia działanie korekcyjne, ale też drobnoustrojowe i ogólnowzmacniające. „Siły działające na ciało człowieka w wodzie mają wpływ na pracę układów i narządów wewnętrznych organizmu oraz powodują wzmożoną pracę układu mięśniowo-szkieletowego. Nakładu pracy mięśniowej wymaga również utrzymanie równowagi statycznej w wodzie” – pisze ekspert. Należy pamiętać, że skolioza idiopatyczna jest przyczyną asymetrycznej budowy ciała, co wpływa na asymetryczny rozkład sił.
Rehabilitacja kardiologiczna w przewlekłej niewydolności serca
W dziale „Z praktyki gabinetu” przedstawiamy również przykład rehabilitacji kardiologicznej w chorobie, jaką jest przewlekła niewydolność serca. To warte uwagi narzędzie, o którego znaczeniu często się zapomina. Powinna być ona elementem kompleksowego leczenia, pod warunkiem, że parametry treningu zostaną właściwie dobrane. Rehabilitacja kardiologiczna poprawia wydolność fizyczną, jakość życia i koryguje czynniki ryzyka chorób.
W tej samej rubryce omawiamy zabieg krioterapii, znany już od tysięcy lat. „Stosuje się ją przede wszystkim w celu pobudzenia określonych procesów fizjologicznych oraz zniszczenia patologicznie zmienionych tkanek” – tłumaczy autorka. W dziale „Z praktyki gabinetu” przedstawiamy wskazania i przeciwwskazania do krioterapii.
Neuroforma
„Neuroforma to stanowisko do ćwiczeń składające się z komputera zawierającego oprogramowanie Neuroforma, kamery komputerowej 3D oraz telewizora LCD 40” – pisze ekspert. To nowatorskie wsparcie rehabilitacji neurologicznej, wykorzystująca elementy wirtualnej rzeczywistości. W najnowszym artykule prezentujemy sposób i możliwości korzystania z Neuroformy.
W rubryce „Nowoczesne metody fizjoterapii” omawiamy, jak koncepcja Kinetic Control sprawdza się w integracji dysfunkcji ruchowej na poziomie obręczy biodrowej i odcinka lędźwiowego kręgosłupa. Ponadto ponownie na łamach naszego czasopisma pojawia się koncepcja Maitland, tym razem w badaniu i terapii kręgosłupa piersiowego i klatki piersiowej.
- Anna Permoda-Białozorczyk , Andrzej Permoda , Aneta Bytner , Dominika Woźniak , Agata Deja , Zofia Paneczko
- 11 stycznia 2014
- Marta Stachura , Magdalena Jagiełło
- 11 stycznia 2014