Maj 2018
Temat numeru dziewięćdziesiątego czwartego wydania „Praktycznej Fizjoterapii i Rehabilitacji” brzmi „Kinetic Control jako podstawowe narzędzie diagnostyczno-terapeutyczne. Dlaczego ocena narządu ruchu jest tak ważna?”.
Kinetic Control jako narzędzie diagnostyczno-terapeutyczne
„W ostatnim ćwierćwieczu doszło do wyłonienia się koncepcji Kinetic Control, opartej na solidnym rozumowaniu klinicznym, obejmującym diagnozę dysfunkcji motorycznych i tkanek bolesnych, określenie możliwych mechanizmów bólowych oraz analizę czynników kontekstowych” – wskazują eksperci. Niezwykle istotna w przypadku tej koncepcji jest możliwość identyfikacji źródła dolegliwości, dzięki wykonaniu prostych testów. Dzięki temu Kinetic Control jest niezwykle ważna dla terapii i leczenia. Zapraszamy do bliższego zapoznania się z tym zagadnieniem!
W niniejszym wydaniu omawiamy m.in. następujące kwestie:
- metoda Vojty w leczeniu przepukliny oponowo-rdzeniowej
- rehabilitacja kardiologiczna i nowoczesne metody diagnostyczne
- rehabilitacja neurologiczna w świetle osobistych doświadczeń
- zarostowe zapalenie stawu ramiennego
- postępowanie po zabiegu usunięcia raka tarczycy z naciekiem tchawicy
Metoda Vojty w leczeniu przepukliny oponowo-rdzeniowej
W dziale „Nowoczesne metody fizjoterapii” znajdą Państwo tekst pt. „Metoda Vojty w leczeniu przepukliny oponowo-rdzeniowej”. Mgr Ewa Żulewska-Fiks wskazuje, jak ważne jest przeprowadzenie operacji w ciągu pierwszych 72 h życia dziecka. Pomaga to uniknąć infekcji, przywrócić prawidłowe krążenie płynu mózgowo-rdzeniowego, zabezpieczyć rdzeń i otaczające go tkanki przed urazem. To również krok ku szybszemu usprawnianiu ruchowemu dziecka. Metoda Vojty jest polecana ze względu na wszechstronność, skuteczność oraz niewielki koszt leczenia z jej wykorzystaniem.
Rehabilitacja kardiologiczna i nowoczesne metody diagnostyczne
W tej samej rubryce skupiamy się na rehabilitacji kardiologicznej. Przedstawiamy nowoczesne metody diagnostyczne w tym kontekście. Diagnostyka rozwija się bardzo dynamicznie, co daje szansę na szybkie rozpoznanie nieprawidłowości i podjęcie leczenia. Rehabilitacja kardiologiczna dysponuje obecnie wieloma specjalistycznymi badaniami diagnostycznymi jak np. EKG, test marszowy czy badania biochemiczne krwi. Te oraz inne badania zostały omówione w niniejszym numerze.
Rehabilitacja neurologiczna w świetle własnych doświadczeń
Przedstawiamy także osobiste doświadczenia Izabeli Kościelny dotyczące rehabilitacji neurologicznej. Opisuje ona przebieg pracy z własną córką, u której doszło do wylewu dokomorowego drugiego stopnia w drugim dniu życia oraz wylewu czwartego stopnia po dwóch tygodniach. Wskazuje na efekty, które przyniosła rehabilitacja neurologiczna i tłumaczy jej mechanizm.
Zarostowe zapalenie stawu ramiennego
W dziale „Z praktyki gabinetu” publikujemy artykuł pt. „Postępowanie terapeutyczne w leczeniu zarostowego zapalenia stawu ramiennego”. Dr n. kf. Marcin Grześkowiak podkreśla ból i ograniczoną ruchomość stawu ramiennego, a także obniżenie możliwości funkcjonalnych wiążące się z tym schorzeniem. Zarostowe zapalenie stawu ramiennego wymaga fizjoterapii i terapii manualnej. Przedstawiamy przebieg choroby, objawy kliniczne, rozpoznanie, badanie funkcjonalne oraz planowanie terapii.
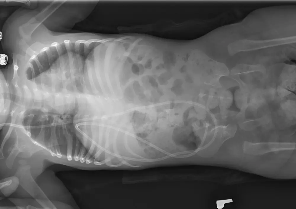
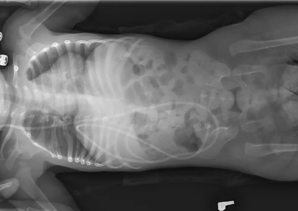
Postępowanie po zabiegu usunięcia raka tarczycy
Usunięty rak tarczycy wraz z naciekiem tchawicy wymaga przeprowadzenia rehabilitacji układu oddechowego i mięśniowo-szkieletowego. To ważne dla poprawy jakości życia pacjentów oraz powrotu do prawidłowego funkcjonowania. W opracowaniu pt. „Rehabilitacja po zabiegu usunięcia raka tarczycy z naciekiem tchawicy” autorki omawiają pracę tarczycy wraz z właściwą rehabilitacją po jej usunięciu.