Kwiecień 2018
Temat numeru dziewięćdziesiątego trzeciego wydania „Praktycznej Fizjoterapii i Rehabilitacji” brzmi „Rak jajników − zaburzenia pozabiegowe w praktyce fizjoterapeuty”. Coraz więcej kobiet po leczeniu onkologicznym kieruje się do fizjoterapeuty, dlatego warto wiedzieć, jak postępować w takim wypadku.
Rak jajnika
Każdego roku odnotowuje się coraz większą liczbę kobiet dotkniętych chorobą, jaką jest rak jajnika. To sytuacja, która wymaga reakcji także wśród terapeutów, ponieważ właściwie dobrana fizjoterapia może przyspieszyć powrót do zdrowia po przebytym leczeniu. Dr n. med. Katarzyna Hojan i mgr Dorota Horyńska-Kęstowicz w aktualnym numerze omawiają dysfunkcje narządów wiążące się z leczeniem tej choroby oraz możliwości usprawniania w konkretnych przypadkach.
W niniejszym wydaniu omawiamy m.in. następujące kwestie:
- rak jajnika i zaburzenia pozabiegowe
- kolano skoczka – metody lecznicze z punktu widzenia terapeuty
- zawód fizjoterapeuty w uzdrowisku
- obóz rehabilitacyjny dla biegaczy na 400 metrów
- manipulacja stawowa – działanie, przeciwwskazania i ryzyko
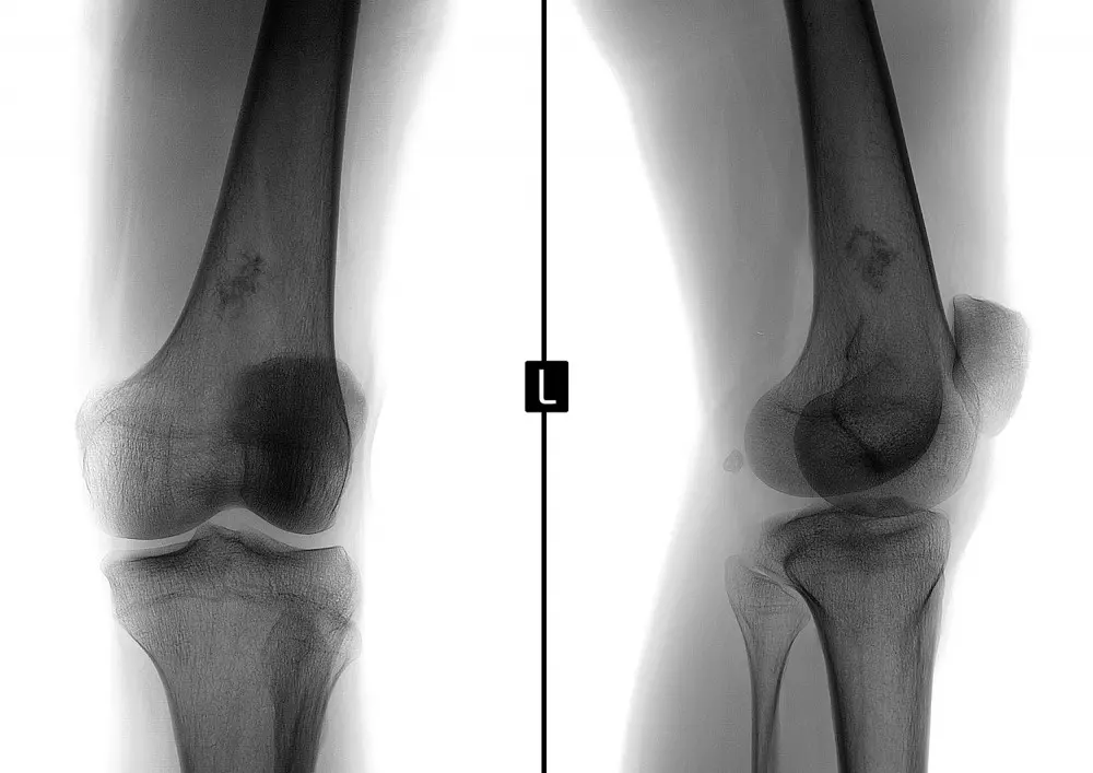
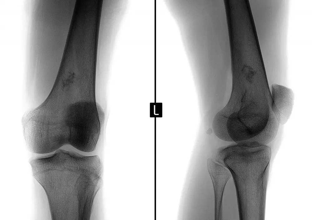
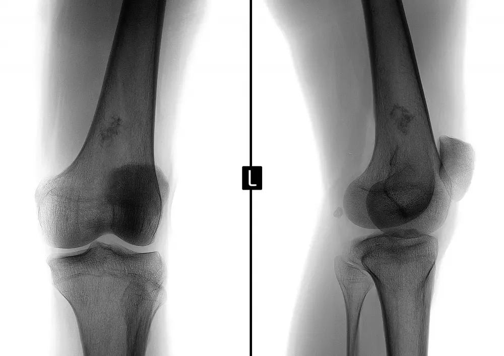
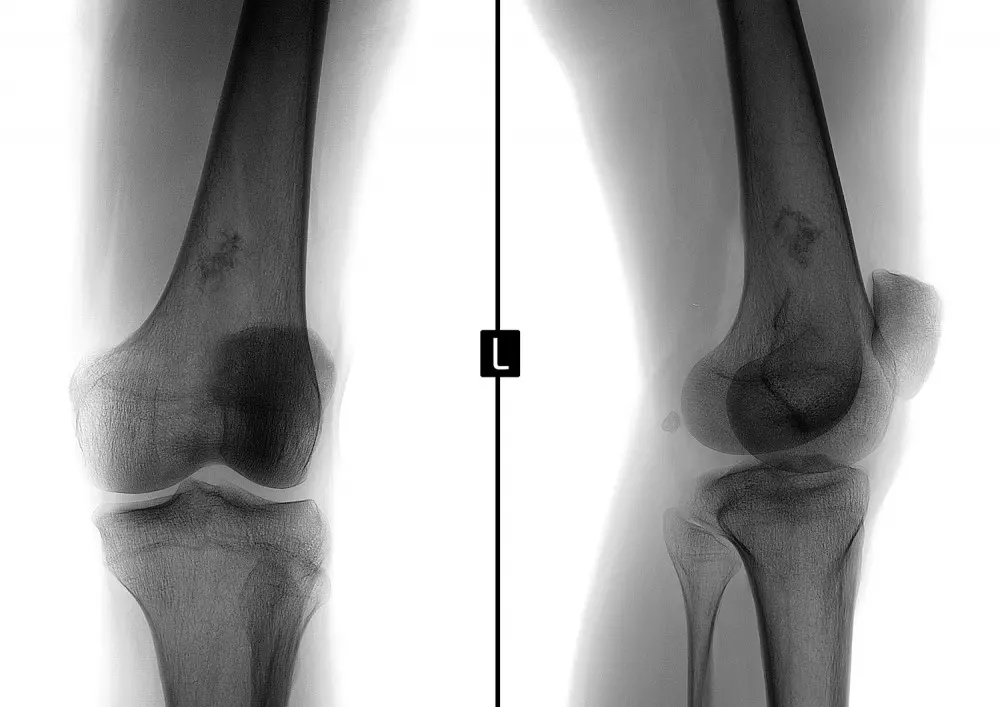
Kolano skoczka – metody lecznicze z punktu widzenia terapeuty
W dziale „Z praktyki gabinetu” znajdą Państwo tekst pt. „Kolano skoczka – metody lecznicze z punktu widzenia fizjoterapeuty”. Autor wskazuje na fakt, że zwiększona aktywność fizyczna, którą można zauważyć w ostatnich latach, sprzyja kontuzjom, przy czym szczególnie podatny jest na nie staw kolanowy o skomplikowanej budowie anatomicznej. Wśród tych kontuzji można wymienić właśnie kolano skoczka. „To uszkodzenie więzadła rzepki w miejscu, gdzie łączy się ono z rzepką. W tym newralgicznym miejscu sumują się różnego rodzaju mikrourazy, które w perspektywie czasu powodują degenerację tkanek” − pisze dr n. med. Kamil Klupiński.
W tym samym dziale pojawia się temat, jakim jest obóz rehabilitacyjny dla zawodników lekkiej atletyki. Piotr Bursiewicz omawia protokół obozu grupy biegaczy na 400 metrów.
Zawód fizjoterapeuty w uzdrowisku
Zawód fizjoterapeuty poszukiwany jest także w uzdrowiskach. Fizjoterapeuta w tym miejscu, powinien znać zasady rehabilitacji uzdrowiskowej oraz podstawy organizacyjne funkcjonowania uzdrowisk. Warto pamiętać, że leczenie uzdrowiskowe jest nieodzownym elementem tego typu miejsc. Dr Małgorzata Paszkowska omawia w tekście specyfikę polskich uzdrowisk, metody leczenia uzdrowiskowego, grupy pacjentów odwiedzające uzdrowiska oraz przysługujące im zakresy świadczeń.
Ponadto w rubryce „Nowoczesne metody fizjoterapii” poruszamy kontrowersyjny temat, jakim są manipulacje stawowe. Z jednej strony uważane są za szybką formę terapii, z drugiej za niebezpieczny i nadużywany element. Serdecznie zachęcamy do lektury!
- Beata Olchowik
- 8 sierpnia 2018
- Małgorzata Paszkowska
- 8 sierpnia 2018
- Mariusz Kurkowski
- 8 sierpnia 2018
- Jacek Szwedo
- 8 sierpnia 2018
- Jakub Chudy , Katarzyna Cwynar , Krzysztof Kozioł , Michał Hadała
- 8 sierpnia 2018