
Wrzesień 2017
Temat numeru osiemdziesiątego szóstego wydania „Praktycznej Fizjoterapii i Rehabilitacji” brzmi „Koncepcja McConnell na przykładzie leczenia zespołu bólowego w stawie rzepkowo-udowym – studium przypadku”. Rehabilitacja stawu rzepkowo-udowego może sprawiać trudności za sprawą wielu mechanizmów mogących wpływać na zaburzenia zborności tego obszaru, dlatego mamy nadzieję, że artykuł okaże się dla Państwa przydatny.
W niniejszym wydaniu omawiamy m.in. następujące kwestie:
- hallux valgus – postępowanie fizjoterapeutyczne
- badanie termograficzne
- masaż głęboki w leczeniu zespołu bólu mięśniowo-powięziowego
- diagnostyka różnicowa zespołów bólowych kończyny górnej
- zespół cieśni kanału nadgarstka
- obowiązki fizjoterapeuty a podstawowe prawa pacjenta
Masaż głęboki a ból mięśniowo-powięziowy u kanadyjkarzy
W rubryce „Nowoczesne metody fizjoterapii” omawiamy, jak masaż głęboki sprawdza się w leczeniu zespołu bólu mięśniowo-powięziowego u kanadyjkarzy. Eksperci prezentują wybrane techniki oraz autorski program postępowania w takim przypadku, w tej grupie sportowców. Masaż głęboki to jedna z możliwości pracy z tkankami miękkimi w bólu mięśniowo-powięziowym. „Techniki masażu głębokiego są często połączone z ruchem pacjenta przypominającym klasyczne rozciąganie, dzięki czemu zmniejsza się napięcie mięśniowe, a w efekcie następuje redukcja bólu oraz przywrócenie lepszej postawy, większej giętkości i płynności ruchu. Podstawowym celem masażu głębokiego jest zatem zmiana struktury i ograniczenie w zakresie ruchomości mięśni” – piszą eksperci.
Ponadto w tej samej rubryce zwracamy Państwa uwagę na badanie termograficzne, a dokładnie, jak sprawdza się ono w monitorowaniu zespołu stopy cukrzycowej: ocenie procesu gojenia się ran i owrzodzeń.
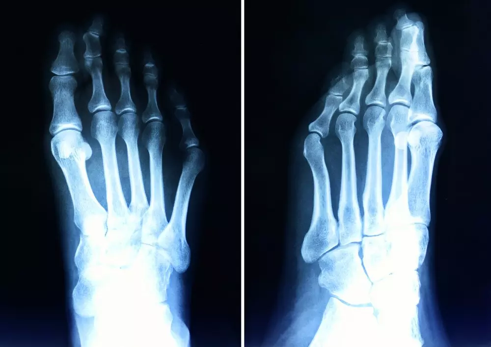
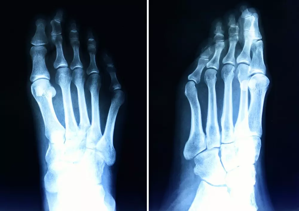
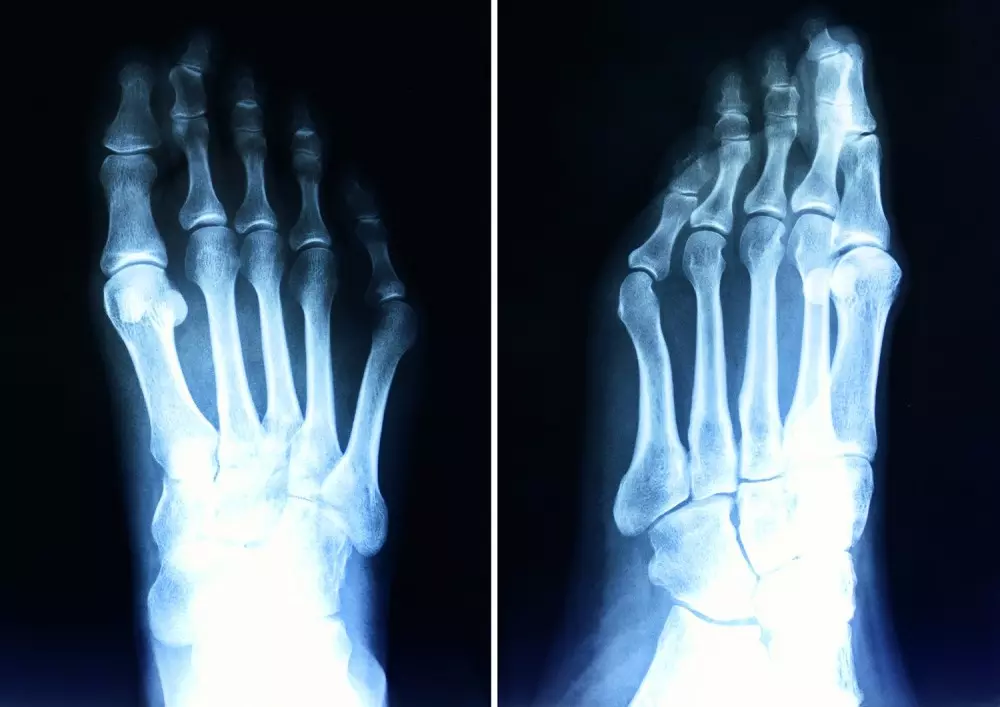
Hallux valgus – postępowanie fizjoterapeutyczne
W dziale „Z praktyki gabinetu” będą mogli zapoznać się Państwo z artykułem pt. „Hallux valgus – postępowanie fizjoterapeutyczne”. Haluksy to bardzo częsta deformacja w obrębie stopy, szczególnie u kobiet, co może być spowodowane źle dobranym obuwiem czy butami na obcasach. W tekście prezentujemy metody fizjoterapeutyczne stosowane w przypadku problemu, jakim jest hallux valgus: mobilizacje, stretching, autostretching, kinesiotaping oraz przedstawiamy odpowiednie zaopatrzenie fizjoterapeutyczne i działania profilaktyczne.
Zespół cieśni kanału nadgarstka
Polecamy także artykuł pt. „Diagnostyka zespołu cieśni kanału nadgarstka dla potrzeb fizjoterapii”. Zespół cieśni kanału nadgarstka dotyka przede wszystkim osoby w średnim wieku oraz starsze, przy czym cierpią na niego głównie kobiety, osoby z nadwagą i otyłe bądź pracujące przed komputerem. Towarzyszy mu ból i parestezje, które pojawiają się głównie w nocy w I, II i III palcu. Siła mięśniowa ulega osłabieniu, może nawet dojść do zaniku kłębu kciuka. W tekście przedstawiamy przebieg badania przedmiotowego, fizykalnego oraz testów prowokacyjnych w przypadku tej neuropatii uciskowej.
W tym samym dziale omawiamy, jak powinna przebiegać diagnostyka różnicowa zespołów bólowych kończyny górnej. To część pierwsza tekstu dotyczącego tej kwestii, którego kontynuacji możecie spodziewać się Państwo w nadchodzących numerach. Ponadto w aktualnym wydaniu publikujemy tekst pt. „Obowiązki fizjoterapeuty w zakresie realizacji podstawowych praw pacjenta”, w którym dr Małgorzata Paszkowska podkreśla, że najważniejszym prawem pacjenta jest wyrażenie zgody lub odmowy na świadczenia zdrowotne.
- Redakcja
- 4 września 2018
- Joanna Tokarska
- 4 września 2018
- Helena Zwinczewska , Moshe Becker
- 4 września 2018