Diagnostyka zespołu cieśni kanału nadgarstka dla potrzeb fizjoterapii

Zespół cieśni nadgarstka to jedna z najczęstszych neuropatii obwodowych w obrębie kończyny górnej. Dotyczy 3% populacji w średnim i starszym wieku, przeważnie występuje u kobiet, osób z nadwagą lub otyłością oraz wykonujących pracę umysłową, głównie przed komputerem. Charakteryzuje się bólem, parestezjami występującymi w nocy w obrębie I, II i III palca, osłabieniem siły mięśniowej lub nawet zanikiem kłębu kciuka. W celu wykrycia i potwierdzenia zespołu cieśni kanału nadgarstka stosuje się dokładną diagnostykę, począwszy od wywiadu, testów prowokacyjnych, oceny siły mięśniowej po bardziej  obiektywne badania obrazowe. Celem pracy jest przedstawienie metod diagnostyki neuropatii obwodowej kończyny górnej, jaką jest zespół cieśni kanału nadgarstka.
Czytaj więcej

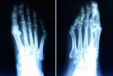
Hallux valgus – postępowanie fizjoterapeutyczne

Haluks (hallux valgus) to koślawe zniekształcenie palucha w stawie I śródstopno-paliczkowym (metatarsophalangeal – MTP). Polega na koślawym ustawieniu palucha i szpotawym ustawieniu I kości śródstopia. Kąt pomiędzy osią palucha a osią I kości śródstopia przekracza 20°. Skutkiem tego jest uwydatnienie po stronie przyśrodkowej stopy głowy I kości śródstopia. 
Czytaj więcej

Przykłady ćwiczeń korekcyjnych w pozycji siedzącej przy użyciu aparatu SKOL-AS

W nawiązaniu do monografii i artykułów dotyczących metodyki i aparatu SKOL-AS w artykule zaprezentowano wybrane ćwiczenia prowadzone w pozycji siedzącej. Działanie zgodne z metodyką SKOL-AS daje możliwości reedukacji wzorca ruchowego i jego utrwalenia.
Czytaj więcej

Masaż głęboki w leczeniu zespołu bólu mięśniowo-powięziowego u kanadyjkarzy

Celem niniejszej pracy jest zaprezentowanie wybranych technik masażu głębokiego w leczeniu zespołu bólu mięśniowo-powięziowego (myofascial pain syndrome – MFPS) u kanadyjkarzy. Przedstawiono autorski program postępowania w MFPS w tej grupie sportowców, scharakteryzowano podstawy techniki wiosłowania w łodzi oraz zarys aktów ruchowych w kanadyjkarstwie. Zwrócono także uwagę na przymusowe asymetryczne ułożenie ciała zawodnika oraz przybliżono główne mięśnie obciążane w trakcie wysiłku.
Czytaj więcej

Badanie termograficzne w monitorowaniu zespołu stopy cukrzycowej

Badanie termograficzne to nieinwazyjna metoda obrazowania zmian fizjologicznych oraz metabolicznych organizmów żywych. Znajduje zastosowanie w ocenie mikrokrążenia, identyfikacji stanów zapalnych, dysfunkcji mięśniowo-powięziowych oraz reakcji układu nerwowego. Jest to jedna z nielicznych metod pozwalająca na obrazowanie całego ciała przy zachowaniu stosunkowo niskich kosztów badania. Jako metoda bezpieczna, bez udziału wysyłanego promieniowania do ciała pacjenta, znajduje szerokie zastosowanie w monitorowaniu procesów leczenia.
Czytaj więcej

Koncepcja McConnell na przykładzie leczenia zespołu bólowego w stawie rzepkowo-udowym

Terminologia schorzeń stawu rzepkowo-udowego w literaturze fachowej nie jest do końca jednolita. Obecnie w polskim piśmiennictwie wyróżnia się takie schorzenia stawu rzepkowo-udowego jak nawykowe podwichnięcie rzepki, zespół rzepkowo-udowy, zwany również zespołem nadmiernego bocznego przyparcia rzepki, oraz nawrotowe zwichnięcie rzepki. Tym, co łączy wyżej wymienione schorzenia, jest zaburzenie zborności w stawie rzepkowo-udowym (tzw. toru ruchu rzepki), określane jako patellofemoral malalignment [1, 2].
Czytaj więcej

Diagnostyka różnicowa zespołów bólowych kończyny górnej - część 2

Dolegliwości bólowe w obrębie kończyny górnej mogą mieć różną przyczynę, dlatego tak ważna jest diagnostyka różnicowa. W ustaleniu prawidłowego rozpoznania pomocne jest tradycyjne badanie radiologiczne, które pozwala na wykrycie wielu patologii, takich jak urazy, zmiany zwyrodnieniowe, przeciążeniowe, choroby metaboliczne, zapalne i nowotwory, choć ma też swoje ograniczenia. 
Czytaj więcej

Osteopatyczne techniki funkcjonalne. Technika napięcia i przeciwnapięcia oraz technika ułatwionego pozycyjnego rozluźniania

Określenie „techniki funkcjonalne” pojawiło się w latach 50. XX wieku na szkoleniach osteopatycznych w Ameryce pod hasłem „Funkcjonalne podejście do szczególnych problemów osteopatycznego leczenia manualnego”. Techniki te wywodzą się z tradycyjnych metod terapii manualnej pochodzących z początków osteopatii (XIX w.). Ich źródła leżą w bogatej tradycji zastosowań rozluźniania pozycyjnego, często opartego na intuicji. 
Czytaj więcej

Su dżok nasze zdrowie w naszych rękach

W czasach gdy coraz więcej osób sięga po naturalne metody terapeutyczne, różne techniki akupunktury i akupresury zyskują na popularności. Dzięki nim można łagodzić ból i zmniejszać dolegliwości towarzyszące chorobom przewlekłym. Większość znanych nam technik pochodzi z krajów azjatyckich. Choć ich zastosowania są podobne, wspomniane metody różnią się stopniem skomplikowania. Jednymi z najprostszych systemów są tzw. mikrosystemy, które odwzorowują cały organizm człowieka na wybranym fragmencie ciała, na przykład na uchu czy dłoni. Wśród mikrosystemów można wyróżnić te łatwiejsze i bardziej skomplikowane. Jednym z mniej znanych mikrosystemów w Polsce, ale zdecydowanie wartym uwagi jest Su Dżok.
Czytaj więcej

Zaburzenia funkcji narządów wewnętrznych i układu mięśniowo-powięziowego

Za wiele problemów zdrowotnych odpowiadają niedobory makro- i mikroskładników, dlatego do zachowania korzystnego stanu zdrowia niezbędna jest odpowiednia dieta. Wiele czynników żywieniowych wpływa na powstawanie zaburzeń w obrębie układu ruchu, na gęstość kości czy też na rekonwalescencję po zabiegach ortopedycznych.
Czytaj więcej

Reedukacja chodu dzieci ze spastycznością kończyn dolnych

Wyuczona w dzieciństwie umiejętność chodzenia w późniejszym etapie życia staje się czynnością zautomatyzowaną, wykonywaną bez udziału świadomości. Pozwala na bycie niezależnym i ma bardzo istotny wpływ na jakość życia, dlatego też w przypadku występowania zaburzeń chodu poprawa jego funkcji jest jednym z podstawowych celów procesu usprawniania.
Czytaj więcej

Badanie termograficzne w monitorowaniu zawodników sportowych

Na sukces zawodnika sportowego wpływa wiele czynników, takich jak przygotowanie fizyczne, odpowiednia technika, wytrzymałość i kondycja psychiczna. Odpowiedni poziom każdego z nich jest efektem ciężkiej pracy zarówno samego zawodnika, jak i zespołu trenerów, terapeutów, psychologów. Najczęstszym czynnikiem, który oddala zawodnika oraz zespół od osiągnięcia upragnionego celu, jest kontuzja. Często wymusza wstrzymanie procesu treningowego, zamieniając czas treningowy na zabiegi i regenerację zawodnika. Czy istnieje metoda monitorowania przeciążeń układu ruchu, która wpłynie na zminimalizowanie liczby kontuzji i urazów? Odpowiedź brzmi: tak – jest nią badanie termograficzne.
Czytaj więcej