
Czerwiec 2016
Temat numeru siedemdziesiątego trzeciego wydania „Praktycznej Fizjoterapii i Rehabilitacji” brzmi „Powięź, somatyka, propriocepcja oraz doskonalenie precyzji ruchu”. W ostatnich latach zwrócono uwagę na powięź i jej rolę, co znacznie zmieniło postrzeganie ludzkiego ciała. Zachęcamy do zapoznania się z artykułem, w którym omawiamy to zagadnienie.
W niniejszym wydaniu omawiamy m.in. następujące kwestie:
- metoda FED w leczeniu skolioz
- zespolenie śródszpikowe – postępowanie fizjoterapeutyczne po usunięciu zespolenia
- Delos Postural Proprioceptive System
- techniki mięśniowo-powięziowe
- koncepcja dostrajania i John Martin Littlejohn
Metoda FED w leczeniu skolioz
W dziale „Nowoczesne metody fizjoterapii” znajdą Państwo dwa artykuły omawiające metodę FED. Jest ona innowacyjnym sposobem skutecznego leczenia skolioz u dzieci, ponadto zastosowana w odpowiednim czasie pozwala uniknąć interwencji chirurgicznej. Metoda FED „nie tylko wpływa na struktury powięziowo-mięśniowe, ale również modyfikuje strukturę chrząstki, dzięki czemu jest możliwe prawidłowe odtworzenie mechanizmu wzrostu kręgu”.
Delos Postural Proprioceptive System
Zachęcamy do zapoznania się z artykułem pt. „Delos Postural Proprioceptive System – Nowy wymiar oceny i treningu propriocepcji”. Zespół ekspertów wskazuje w nim na zwiększone zainteresowanie czuciem proprioceptywnym, czyli czuciem głębokim i kontrolą nerwowo mięśniową. W związku z tym przywołujemy badania prowadzone przez Dario Rivę, twórcę Delos Postural Proprioceptive System, który służy do oceny i treningu stabilności ciała oraz przybliżamy Państwu działanie i budowę samego aparatu.
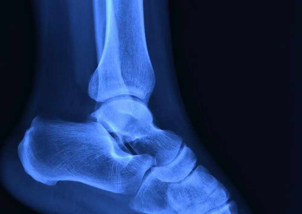
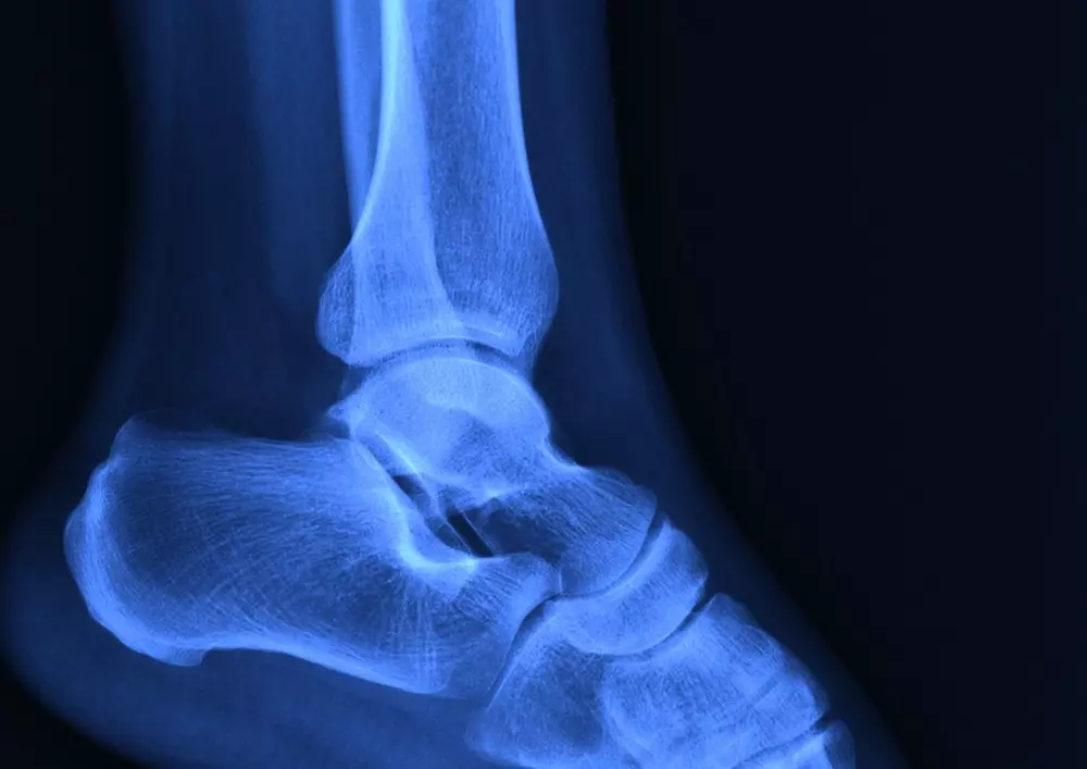
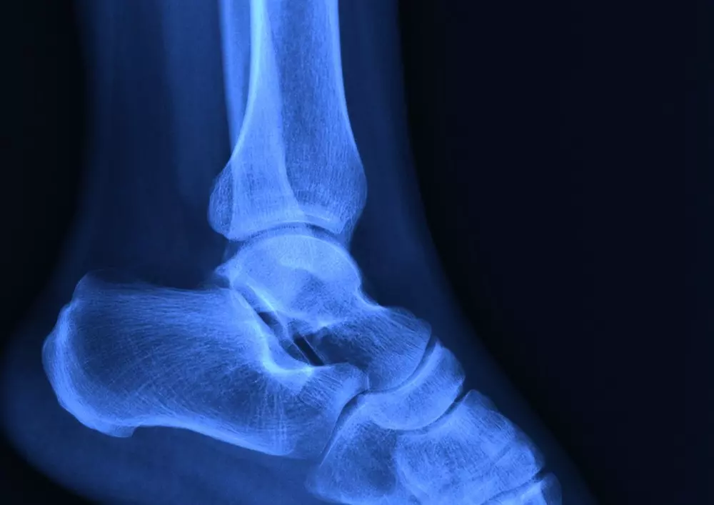
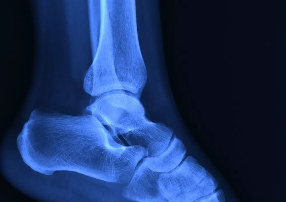
Zespolenie śródszpikowe – postępowanie fizjoterapeutyczne po usunięciu zespolenia
W rubryce „Z praktyki gabinetu” omawiamy zagadnienie, jakim jest zespolenie śródszpikowe. To rodzaj zespolenia stosowanego podczas osteosyntezy stabilnej zewnętrznej. Polega ono na wprowadzeniu do jamy szpikowej gwoździ, śrub czy prętów. Przedstawiamy także rehabilitację 57-letniej pacjentki po złamaniu trójkostkowym z podwichnięciem stopy i po usunięciu zespolenia śródszpikowego. Ponadto w tekście autorzy opisują uraz, jakim jest złamanie wraz z objawami, diagnostyką i leczeniem, a także procesem gojenia złamań.
W tym samym dziale znajdą Państwo tekst pt. „Techniki mięśniowo-powięziowe używane w pracy na stawie skroniowo-żuchwowym”. Jest to kontynuacja serii artykułów, dlatego zachęcamy do zapoznania się z poprzednimi numerami.
Na łamach naszego czasopisma przywołujemy również koncepcję dostrajania i sposób, w jaki postrzegał ją John Martin Littlejohn. Przytaczamy przy tym spór między tradycjonalistami a reformatorami. Prezentujemy tu historyczne spojrzenie na tę kwestię i zapraszamy do lektury.
- Magdalena Bajerska-Dąbek , Marek Wiecheć
- 24 lipca 2018
- Anna Opuchlik , Anna Włoch , Małgorzata Biskup
- 24 lipca 2018
- Beata Tuszyńska , Sandra Trzcińska
- 24 lipca 2018
- Agnieszka Książek-Czekaj , Marek Wiecheć
- 24 lipca 2018